관절의 이상에서
오는 통증과 전이통,
근육통등이 있습니다.

인터넷 진료예약을 하시고나면 전문상담원이 전화를 걸어 확인 후 최종예약이 등록됩니다.
예약이 접수되면 전문상담원이 직접 전화를 걸어 상담해 드립니다.
(단, 당일 예약 불가)
전화상담은
평일 10:00~21:00,
토요일 09:00~17:00
이루어집니다. (일요일은 휴진)
척추·관절분야에 대해
연구를 통한 노하우를 제시합니다.


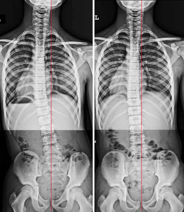
증상 : 등통증, 서거나 앉을 때 통증
치료기간(횟수) : 30회 치료, 4개월
등록된 댓글이 없습니다.

| 항목 | 구분 | 코드 | 금액 |
|---|---|---|---|
| 도수치료 | 30분 | MX122 | 90,000원 |
| 55분 | MX122 | 150,000원 | |
| ESWT(체외충격파) | SZ084 | 70,000원 ~ 250,000원 | |
| 증식치료 | MY142 | 10,000원~50,000원 | |
| H-LASE(유착방지) | 654801741 | 10,000원~100,000원 | |
| 초음파검사 | t00001 ~ t00005 | 10,000원~50,000원 | |
| 영양수액치료 | 681100401 | 20,000원~80,000원 | |
| COLOR SHOES (컬러슈즈) | 10,000원 | ||
| 보호대 | 손목보조기 | BC1239RE | 35,000원 |
| 팔꿈치보조기 | BC1215RE | 40,000원 | |
| 엄지보조기 | BC1219RE | 35,000원 | |
| 손가락 & 엄지 | K8103956 | 20,000원~30,000원 | |
| 손목보조기 | K8103057 | 20,000원~30,000원 | |
| multi finger splint | P000BLCD | 15,000원 | |
| Aluminum splint | T6090 | 13,810원 | |
| 스테리스트립(steri strip) | BM5001EM | 500원 | |
| 성장판검사 | t0002 | 30,000원 |
| 항목 | 구분 | 코드 | 금액 |
|---|---|---|---|
| CD copy(복사) | 10,000원 | ||
| 진단서&소견서 | 20,000원 | ||
| 확인서&통원확인서 | 3,000원 | ||
| 진료 기록지 | 1장~5장 | 500원 | |
| 6장부터~ | 100원 |
서울특별시 중구 신당동 150-2 스타타워 A동 4,5층
신당서울휴재활의학과의원
대표자 : 김준래사업자등록번호 : 173-97-01554
tel : 02-2238-8884fax : 02-2238-8885
Copyright ⓒ SEOUL HYU. All right reserved.
